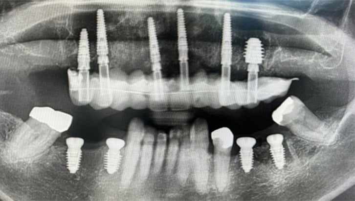
Dental Implant Cases
Aberdeen Implant Centre

Dental Implant Cases

Beautiful new smiles created at the Dental implant centre