• Treatments
    • Single tooth
    • Multiple teeth missing
    • Full Mouth Dental Implants
    • Loose Denture solutions
    • All on 4 Dental Implants
    • Failed implants
    • Digital Smile Design
    • Impression Free Dentistry
    • Supervised Implant Placement
  • Locations
  • Fees
  • Meet The Team
  • Why Us
    • About Us
    • Video Guide
    • Dental Implant Cases
    • Patient Videos
  • Referrals
  • 07760 766 807
  • Treatments
    • Dental Implants
    • Single tooth
    • Full Mouth Dental Implants
    • All on 4 Dental Implants
    • Multiple teeth missing
    • Loose Denture solutions
    • Failed implants
  • Fees
  • Locations
  • Our Centre
    • Meet The Team
    • About Us
    • Practice Tour & Gallery
  • Patient Stories
    • Dental Implant Cases
    • Patient Videos
  • Contact Us
Get in Touch

Dental courses

Before And After
Aberdeen Implant Centre

Before And After

Call today
Book Online
  • Before And After
  • Patient Videos

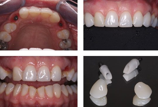
Dental Implants Cases

See more Cases

COSMETIC CASES

See more Cases
Dental Implants

Dental Implant Centre Aberdeen

32 CARDEN PLACE
ABERDEEN
AB10 1UP

07760 766 807

Opening hours:

MON8:30AM – 5:30PM
TUE8:30AM – 5:30PM
WED8:30AM – 5:30PM
THUR8:30AM – 5:30PM
FRI8:30AM – 2:00PM
SATClosed
SUNClosed

TREATMENT OPTIONS

Dental Implants
Multiple teeth missing
Single tooth
Full Mouth Dental Implants
Loose Denture solutions
Contact Us

IMPLANT COURSES

Dental Implant Courses
Dental Implant Nursing Course
Implant Diploma Courses

COMPLAINTS POLICY  |  PRIVACY & COOKIES POLICY  |  GDC  |   STATEMENT OF PURPOSE
WEBSITE UPDATED: 12/03/2026

WEBSITE DESIGN, DENTAL MARKETING & SEO BY DENTAL SEM